Our Services

Radiology reports
OPG (Orthopantomogram) X-rays play a vital role across various branches of dentistry by providing a comprehensive panoramic view of the entire oral cavity, including the teeth, jaws, and surrounding structures.

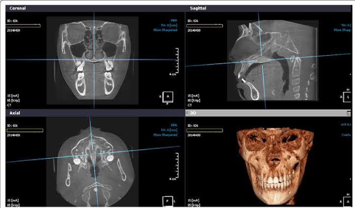
CBCT Imaging
Our service combines advanced imaging technology with expert analysis to create detailed, patient-specific treatment plans for dental implant procedures.

3D printed Surgical Guides
Comprehensive radiology reporting for accurate diagnoses.