Radiology reports
OPG (Orthopantomogram) X-rays play a vital role across various branches of dentistry by providing a comprehensive panoramic view of the entire oral cavity, including the teeth, jaws, and surrounding structures.
General Dentistry
Identifies cavities, infections, bone loss, and impacted teeth for comprehensive dental care.
Orthodontics
Assesses jaw alignment, tooth development, and helps plan orthodontic treatment.
Oral Surgery
Evaluates dental extractions, cysts, tumors, and other pathologies for accurate surgical planning.
Periodontics
Monitors bone levels, periodontal health, and helps detect early signs of gum disease.
Implantology
Provides critical information for evaluating bone structure and planning dental implant placement.
Pediatric Dentistry
Assists in monitoring the growth and development of teeth and jaws in children.
Gallery

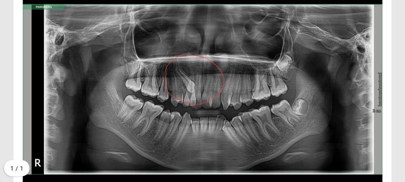
Cyst

Condylar Fracture

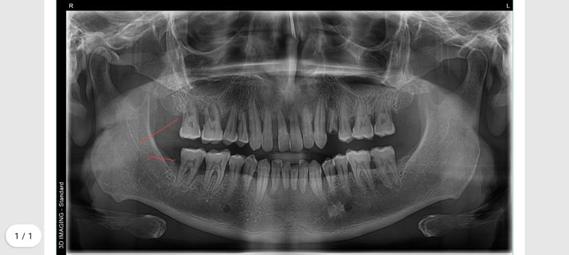
Impacted Teeth

Bone Loss

TMJ
